Implant Dentist
An implant dentist is a dental professional who is qualified to place surgical fixtures that anchor dental prostheses. Implant dentistry offers patients a permanent, comfortable, and effective way to improve their mouths’ look and function. Implants allow placement of dental prostheses such as replacement teeth, crowns, and bridges in the jaw.
Implant dentistry is available at Happy Smiles Family Dentistry in Schaumburg and the surrounding area. Our team can help you restore your smile’s appearance and function. Call us today at (847) 524-0488 to learn more about our services or schedule an appointment.
Implant Dentist Qualifications
According to the American Dental Association, all dentists are qualified to place dental implants. While it is legal for any licensed dentist to place dental implants, implant dentists have more advanced training and experience. Dentists who specialize in implants receive more formal training and education to perform these procedures with a high degree of success.
Implant dentists have additional training and experience with anticipating, diagnosing, and treating surgical complications. Since implant dentists focus on implant procedures, they perform them more often than general dentists. Their extensive experience provides patients with a safety and comfort level that does not exist when dentists with less training and experience perform these procedures.
Dental Implants Procedures
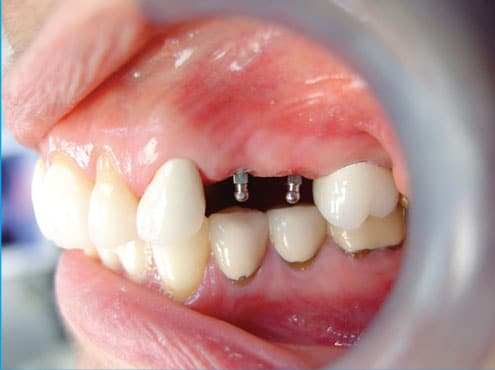
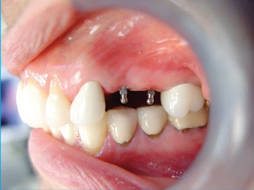
Dental implant procedures involve inserting an implant to act as an artificial root, anchoring a custom restorative device. There are two major types of dental implants, endosteal and subperiosteal. Endosteal implants are the most commonly used dental implant and placed in the jawbone. They are usually made of titanium and shaped like small screws.
Subperiosteal implants are implants that we put under the gum but not in the jawbone. This type of implant is best for patients who do not have enough healthy natural jawbone and cannot undergo a procedure to rebuild it. In other cases, we can rebuild the bone through a bone augmentation, a sinus lift, or a ridge expansion to provide a sturdy foundation for an implant.
Dental Implants Vs. Dentures
Dental implants and dentures are both common options to replace missing teeth. Dental implants are a permanent solution to replace a missing tooth or teeth. Dentures are removable appliances that replace missing teeth and some gum tissue.
Many patients often opt for implants due to their natural appearance and function. However, people must have healthy gums and jaws to receive a dental implant. Dentures may be the right choice for patients who have gums or jaw that are weak or unhealthy.
Alternative Implant Options
Implant-supported crowns are a popular solution for missing teeth, but they are not the only option available. Implant dentists can also provide implant-supported dentures or bridges. While crowns replace one missing tooth at a time, bridges can restore multiple missing teeth at once. The number of implants placed will depend on the bridge size.
Dental implants hold the bridge securely so that it feels and functions just like natural teeth. Unlike conventional dentures that sit on the gums, implant-supported dentures are more stable and versatile. This restorative appliance tends to fit better and feels more comfortable than traditional dentures while preserving the jawbone and preventing further bone loss.
Questions Answered on This Page
Q. What qualifications does an implant dentist have?
Q. What dental implants procedures does an implant dentist perform?
Q. How do dental implants compare to dentures?
Q. What are the alternatives to dental implants?
Q. When should people seek an implant dentist?
People Also Ask
Q. Who is a good candidate for dental implants?
Q. What should a patient do after dental implant surgery?
Q. What should I do if I lose teeth?
Q. What are the implant-supported options to replace teeth?
When To Seek an Implant Dentist
According to the American Academy of Implant Dentistry, almost anyone missing at least one tooth can receive a dental implant once facial growth and development are complete. To qualify for an implant, the person should be in good general health with healthy gums and enough bone to hold the implant. They must also have good oral hygiene and attend regular dental visits.
People with one or more missing teeth can benefit from receiving treatment from an implant dentist. In some severe tooth loss cases, an implant dentist can replace all of a patient’s teeth. Dental implants can significantly improve the quality of life of a patient with missing teeth. These restorations can improve the appearance, function, and feel of teeth and help people eat, speak, and feel confident.
Frequently Asked Questions
Q. What are the success rates of implant dentist procedures?
A. The success rate of dental implant procedures is typically very high. However, the success rate is affected by the patient’s oral hygiene and the implant location. Implant procedures have a success rate of up to 98%.
Q. Are dental implants removable?
A. No, dental implants are generally not removable. Unlike dentures, implants are fixed permanently in the jaw or skull. They are permanent additions to your mouth and function like normal teeth. A dentist can take them out if medically necessary.
Q. Why do people prefer to see implant dentists for replacement teeth?
A. There are many benefits to receiving dental implants. Many patients report opting for implants because they are the most similar to real teeth. They have a more natural look, feel, and function than other tooth-replacement options.
Q. Are dental implant procedures safe?
A. Dental implants are safe and effective tooth replacements. Like any other surgical procedure, there is a possibility of experiencing complications. Following all aftercare instructions will help to reduce the likelihood of complications arising from implant surgery.
Q. How do I take care of my new teeth after seeing an implant dentist?
A. You can care for your dental implants the same way you take care of your other teeth. Brushing and flossing daily and regular cleaning and check-ups at the dentist will ensure that implants stay in good condition. Implants have the potential to last for several decades if cared for properly.