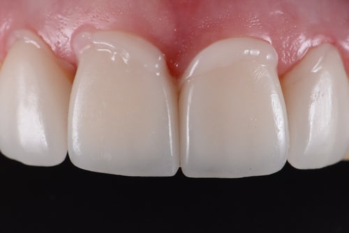
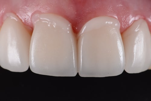
Dental bonding is one of the most versatile and affordable treatments used in dentistry. It can be used to fix a wide range of issues like damaged, cracked, chipped, or decayed teeth. The procedure involves using composite resin to rebuild and restore damaged teeth. These restorations typically last up to eight years depending on your chewing habits and bite.
Also known as composite bonding, dental bonding is one of the most popular restorative treatments used by dentists since restorations can often be completed during a single visit and are typically noninvasive. Patients get to walk out of the clinic with their smiles restored. In some cases, two visits might be required depending on the type of dental bonding treatment being provided.
Popular Types of Dental Bonding Procedures

Dental bonding procedures can be used to address a wide range of issues including:
- Filling up cavities instead of using silver amalgam fillings
- Reshaping poorly shaped teeth
- Covering up exposed teeth roots due to gum recession
- Improving the aesthetics of discolored teeth
- Closing up small gaps between teeth
- Repairing damaged, chipped, cracked teeth
Some of the different types of composite bonding procedures that can be used to address such issues include:
1. Direct bonding treatment
Direct procedures are the most common type of bonding treatment. They can be used to address issues like decayed, damaged, or misshapen teeth in a single visit. They can also be used to improve the appearance of discolored teeth that do not respond to whitening treatments.
Direct bonding involves applying composite resin directly to the teeth being treated. The composite is color-matched with the rest of the patient’s teeth so restorations made look natural. Teeth are prepared for direct bonding by cleaning them and using an etching solution to roughen their exterior. This creates a better bond with the composite.
The composite is then applied to the patient’s tooth in layers. It is shaped as desired and bonded to teeth with a curing light. The dentist then polishes the restored tooth to finish the procedure. The entire procedure takes about 45 minutes and only requires one visit to the dentist.
2. Indirect dental bonding
Indirect bonding procedures require two trips to the clinic. The process involves making a composite restoration and cementing it into place with composite resin. During the first visit, the dentist takes an impression of the teeth being treated and sends them to a lab where composite restorations are made. It takes roughly a couple of weeks for the custom restoration to get back to the dentist.
The patient comes in for a second appointment and the indirect composite is cemented into place. The most popular type of indirect bonding procedure is an inlay or onlay for severely damaged teeth that require more than fillings.
3. Composite veneer bonding
Composite resins can be used to make restorations like veneers. A veneer is a tooth-shaped, thin restoration that is used to cover the front-facing side of teeth. It can be used to change the size, color, and shape of teeth.
Composite veneers can be used to fix various cosmetic issues like gaps between teeth, stains, misshaped teeth, and minor alignment issues. Veneers are one of the most popular cosmetic restorations used in dentistry since they can be used to transform any smile into an amazing one.
The placement of veneers typically requires two trips to the clinic. The first appointment is used to prepare the patient’s teeth by removing enamel from their front sides. This prevents the veneers from making the patient’s teeth appear abnormally large. An impression is also taken during the first appointment so the patient’s custom veneers can be made.
Temporary veneers are used to cover the prepared teeth since they need artificial enamel, and the patient comes back in about two weeks when their custom restorations are ready. The temporary veneers are removed and the custom veneers are cemented into place.
Getting more out of composite bonding restorations
Restorations made with composite bonding can last up to eight years depending on how well you take care of your teeth and your biting habits.
Some of the little things patients can do to get more out of their restorations include:
- Consider quitting if you are a smoker. Smoking stains composite restorations and increases your risk of gum disease and cancer
- Avoid foods and beverages with strong tannins (coloring agents) that stain teeth like coffee, tea, and red wine as much as possible
- Avoid bad habits like chewing on ice or biting on your fingernails since they can damage composite restorations
- Patients who grind their teeth should wear a night guard before going to bed
Restore Your Smile with Composite Bonding
Composite bonding can restore the look and function of damaged teeth in as little as 45 minutes. Call or visit our Schaumburg clinic to set up an appointment.