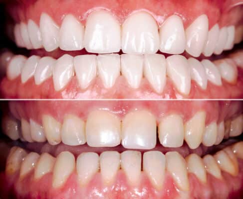
General dentistry involves preventative, restorative, and cosmetic dental treatments like teeth whitening. Teeth are constantly bombarded by substances that cause stains and discoloration, affecting the way that they look.
The most common type of teeth whitening treatment performed by dentists involves using bleaching agents like hydrogen peroxide to remove stains from the outer surfaces and deep within teeth. The products used for in-office whitening treatments are significantly more potent than anything that you can purchase over the counter, leading to significantly faster results. The American Academy for Cosmetic Dentistry states that a single in-office whitening session can improve the color of teeth by up to eight shades.
Fortunately, general dentistry treatments like teeth whitening can be used to restore or improve the color of the teeth. These treatments are effective on a wide range of stains, like those caused by:
- Aging
- The coloring agents (tannings) in foods and beverages
- Tobacco smoke
However, teeth whitening treatments do have limitations. They are ineffective on stains caused by taking tetracycline antibiotics, discoloration due to fluorosis, or stains caused by tooth decay. But dentists have a way around these issues by using restorations, like composite bonding.
Teeth Whitening Treatments Used in General Dentistry
Let us take a closer look at popular treatments that a dentist might recommend to address stains and discoloration on a patient’s teeth.
1. In-office whitening treatments
These treatments are performed using prescription-grade whitening products that are not sold publicly. The whitening product is usually administered with a customized mouth tray that the patient bites down on for up to 90 minutes.
The patient’s teeth should be whiter after their treatments, but those with severely stained or discolored teeth might need follow-up treatments to reach their desired shade of white. In-office teeth whitening treatments are typically recommended for patients with no significant oral problems. Whitening decayed or otherwise damaged teeth can damage their structures.
The most significant side effect associated with teeth whitening treatments is increased teeth sensitivity that lasts for a few days. Dentists sometimes perform fluoride treatments after whitening teeth to help reduce this.
2. At-home whitening kits
Dentists provide patients with at-home whitening kits that they can use on their own. These kits come with more potent and safer bleaching agents than products sold over the counter. They are less effective than in-office whitening treatments, but they can get teeth to the same result in about a month. At-home kits provide patients with an effective way to maintain the results of their in-office whitening treatments.
3. Composite bonding
Dental bonding can be used to hide stains that are not responsive to bleaching agents. The composite can be color-matched with the patient’s teeth, then applied over them to cover up stains and discoloration. The dentist hardens the resin with a curing light to complete the process.

